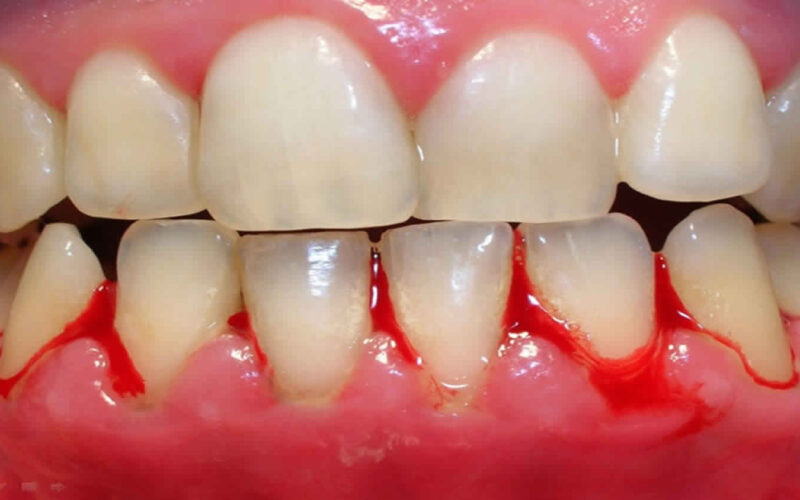
How do i know i have gum disease?
The first signs are blood appearing on the tooth brush or blood visible during rinsing of the mouth. It is usually painless but in more severe cases, the gums appear red and swollen and may feel sore. Some patients experience minor gum swelling with pus oozing out of their gums. Other symptoms are gaps appearing and widening in-between the teeth.
What are the different treatment available for gum disease?
Regular scaling and polishing every 6 months is necessary to remove the plaque/ tartar/ germs to prevent it from affecting the gums and bone level. Sometimes apart from scaling and polishing, it is necessary to do root planing (deep cleaning) to remove those plaque that are deposited deep in the gums and is done comfortably under Local Anaesthesia.
Medication such as antibiotics and antiseptic mouthwash may be required as an adjunct treatment to gum disease. For some patients who are genetically prone to gum disease, it is necessary to visit the clinic once every 4 months to maintain the gum and bone disease.
7) Filling
We at arya dental offers tooth coloured restorations to help hide filing. white filling do not increase sensitivity and can be used to preserve your natural teeth. We can REPLACE your existing fillings with composite resin or lab made porcelain.






